当前位置:主页 > 诊断基础
鉴别早孕囊、假孕囊与空孕囊
时间:2016-12-25 10:46:23,点击:4785
理论上妊娠5周时超声(阴道超声)即可见妊娠囊 (gestationalsac,GS):增大的子宫宫腔内,可见圆形或椭圆形光环,边界清晰,其内为无回声区,如其内可见到卵黄囊或胚芽及节律的心管搏动,可确诊为早期妊娠、活胎。
假孕囊是女性非正常怀孕时(异位妊娠或宫外孕),由蜕膜化内膜将潴留血液或黏液包绕而成,属于子宫内膜腺体、上皮组织对于HCG的一种反应。
空孕囊是指子宫内空囊胚的直径>25 mm,超声未探及胚芽内心管搏动或仅有空胚囊而无胚胎组织。
那么如何通过超声鉴别早孕囊、假孕囊与空孕囊呢?
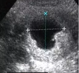
真孕囊
孕囊一般位于宫腔某一侧蜕膜内,轮廓光滑完整,张力好,与孕周基本相符;囊壁厚度一般>2mm,呈均匀一致的较强回声;可呈现双环征;孕囊内可见卵黄囊及胚胎回声,并可见原始心管搏动,卵黄囊是诊断孕囊的金标准;真孕囊可随孕龄生长。
空孕囊
轮廓不规则或有缺损,常小于孕龄呈空虚状,张力差;空孕囊由于胚胎死亡枯萎,可位于宫腔中央或略偏向一侧,一般下移至子宫颈内或宫腔下段;空孕囊随孕龄不生长或生长缓慢。
假孕囊
轮廓不规则,与孕龄不符,呈壁薄的单环状暗区;假孕囊一般位于子宫腔正中央;假孕囊随孕龄不生长或反见缩小;附件区可出现孕囊或包块;宫内刮宫刮出的组织中,未见绒毛等胚胎组织,只见蜕膜组织。
- 相关阅读
- 女人排卵期的6个特殊表现
- 冷冻卵子?还不如好好保养卵巢!
- 女性阴道炎会传染给男性吗?能治愈吗?